Braces for Kids in Dubai & Sharjah: Best Age & Treatment Options
- Dr Srinivasa Rao Bogavilli

- Jun 29, 2025
- 4 min read
Updated: Jan 23
Are you concerned about your child’s teeth becoming crooked or misaligned? You're not alone—many parents in Dubai and Sharjah ask about the best time to begin orthodontic treatment for their kids. Whether it's overcrowded teeth, early loss of baby teeth, or the need for braces, early care from a qualified orthodontist makes a lasting difference in your child's smile and oral health.
At our advanced dental clinics, we focus on gentle, age-appropriate braces for kids and offer a personalized treatment plan for every child.
Braces for Kids in Dubai & Sharjah: Quick Navigation Guide
Why Kids Orthodontics Matters
Children orthodontics isn’t just about straightening teeth—it’s about guiding jaw growth, improving bite function, and supporting overall oral health. According to the American Association of Orthodontists recommends an orthodontic evaluation by age 7 to catch early signs.
This allows your pediatric orthodontist to detect issues like:
Misaligned teeth or jaw
Early or late loss of baby teeth
Thumb sucking or mouth breathing
Problems with permanent teeth eruption
Kids Orthodontic Care by Age
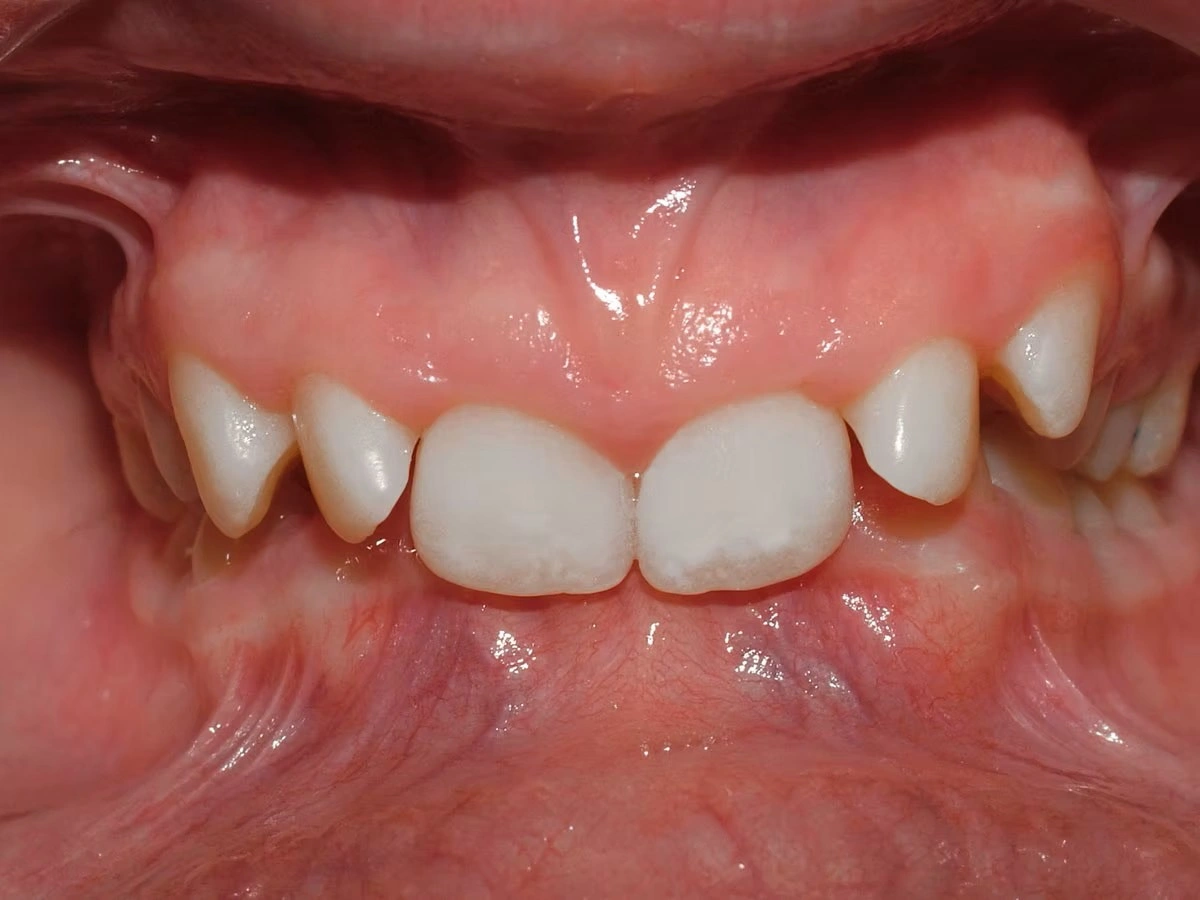
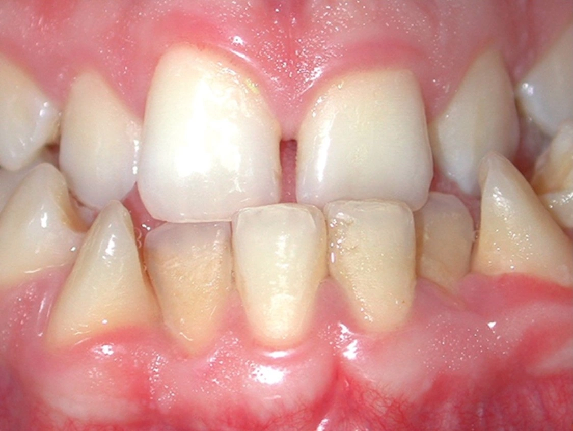
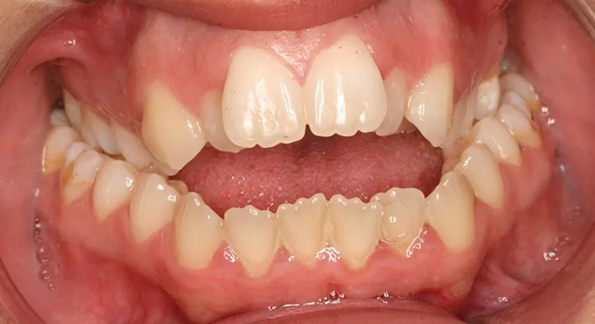
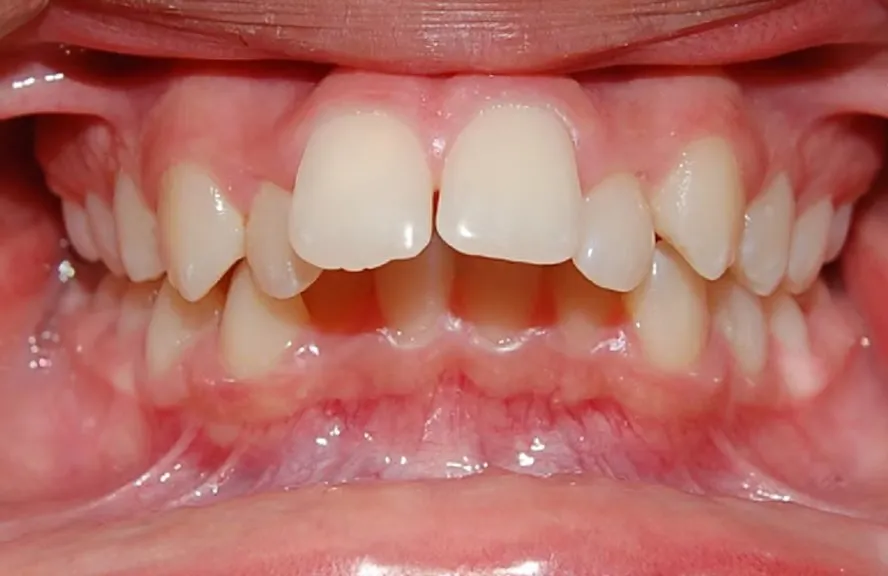
Understanding Misaligned and Permanent Teeth Issues
Early signs of misaligned teeth or bite issues usually show up as your child’s permanent teeth begin to erupt. This is why we recommend an orthodontic evaluation around age 7. Through early orthodontic treatment, we can intercept complex issues and guide teeth into better new positions before they become harder to manage.
Addressing alignment issues early can reduce the need for extractions and help your child achieve a more beautiful smile with less discomfort.
When to Start Braces for Kids
At our dental clinics in Dubai and Sharjah, we work closely with pediatric dentists to ensure children receive age-appropriate orthodontic care. While most pediatric dentistry focuses on prevention and hygiene, braces for kids are recommended when permanent teeth begin to erupt with visible misalignment or spacing issues.
If your child is between 7 and 10 years old, it's the right time to schedule an orthodontic evaluation.
Orthodontic Journey
Early Signs of Orthodontic Problems in Children
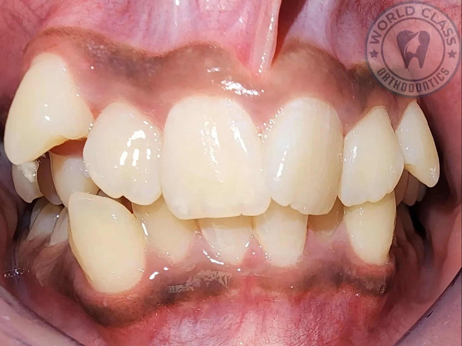
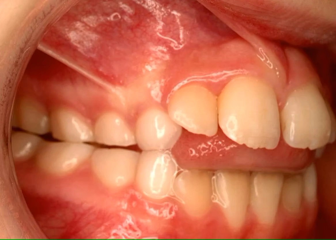
Crooked or crowded teeth may seem like a cosmetic issue, but they often signal deeper orthodontic issues. Left untreated, they can affect your child’s oral health, speech, difficulty chewing, and even self-esteem.
Our goal is to ensure your child develops healthy teeth and jaws that function harmoniously. Regular checkups help catch these signs early and initiate early treatment.
Common Orthodontic Treatments for Kids
At our clinics in Dubai and Sharjah, we offer both interceptive orthodontics (early intervention) and full braces treatment:
Signs Your Child May Need Braces
Untreated orthodontic problems can lead to long-term dental issues, including:
🦷 Crooked or crowded teeth
👄 Mouth breathing or thumb sucking
❗ Early/late loss of baby teeth
😬 Jaw shifting or asymmetry or jaw pain
🗣️ Difficulty chewing or speaking
Wearing braces during the growth years not only addresses visible alignment but also supports your child’s dental well-being and perfect smile.
Why Choose Early Orthodontic Treatment
Early orthodontic treatment isn’t just about getting braces sooner. It’s about detecting jaw or tooth alignment issues before they worsen. Our specialized orthodontic services provide tailored orthodontic treatment plans designed for growing children, making the treatment process more effective and comfortable.
We offer a comprehensive range of solutions including:
Personalized Treatment Plans for Every Child
Each child receives a personalized treatment plan based on their unique dental and facial structure. Some may need traditional braces, while others benefit from ceramic braces for better aesthetics. These treatments help straighten teeth, guide jaw development, and improve child’s self-confidence.
At our clinics in Dubai and Sharjah, we offer metal braces and ceramic braces for kids. Traditional metal braces are strong, effective, and budget-friendly. Ceramic braces use tooth-colored materials for a more discreet option.
For patients seeking advanced orthodontic solutions, we also offer the innovative Damon self-ligating braces for faster and gentler treatment.
Our orthodontists assess your child's teeth, bite, and growth stage to determine the best course of action.
Cost of Kids Braces in Dubai & Sharjah
The cost of kids braces typically ranges from AED 6,000 to AED 12,000, depending on the type of orthodontic appliances, case complexity, and treatment length.
We offer:
Flexible payment plans
Monthly installment options
Free orthodontic evaluations
Choosing the right orthodontist is crucial for achieving optimal results and comfort during treatment.
Frequently Asked Questions
Q: What’s the best age for braces?
A: Most children start between ages 9–14, but early consultations help plan ahead.
Q: How long do kids wear braces?
A: On average, 12–24 months depending on the case.
Q: Are braces painful?
A: There may be mild discomfort after adjustments, but today’s braces are more comfortable.
Q: Can kids use clear aligners instead of braces?
A: Sometimes yes, but traditional braces are often more effective during the teenage years.
Q: What happens after braces?
A: Retainers help maintain results and ensure your child achieves optimal results.
Still curious?
Book a Free Consultation with a Kids Orthodontist
Don’t wait until all permanent teeth erupt—early orthodontic treatment can prevent bigger dental problems later. Book your child’s appointment with our expert team today.
📍 World Class Orthodontics - Samnan, Sharjah








